응급 의료 서비스에서의 기흉
EMS Pneumothorax
Brian W. Koch, Devin M. Howell, Chadi I. Kahwaji
2023년 7월 24일
지속적인 교육 활동
미국의 전반적인 응급 의료 서비스 (EMS) 제공자들은 기흉의 신속한 평가와 치료를 위한 프로토콜을 가지고 있다. 병원 전 제공자들이 사용할 수 있는 여러 치료 방법이 있으며, 이는 훈련 수준과 지리적인 위치에 따라 상이하게 사용된다. 국가적으로 수용되는 단일적인 방식은 없다. 이러한 활동은 기흉 처치 방식을 검토하고, 이러한 환자의 관리를 위한 전문가 팀의 역할을 강조한다.
목표 :
- 기흉의 병태생리를 설명
- 흉관 삽입의 적응증을 요약
- 기흉 환자의 증상을 검토
- 기흉 환자에 대한 진료 제공 수준을 향상하기 위해 전문가 간 진료 조정 개선의 중요성을 강조
개요
외상성 기흉은 흉부 외상에서 둘째로 흔한 손상으로, 미국에서는 매년 50,000여 건이 발생한다. 기흉 관리에서는 호흡 부전이나 '긴장' 생리로 인한 폐쇄성 쇼크의 발병을 예방하기 위해 병원 전 제공자에 의한 조기 인식과 치료가 중요하다. 미국의 대부분의 응급 의료 서비스 제공자들을 기흉의 신속한 평가와 치료를 위한 프로토콜을 가지고 있다. 병원 전 제공자들이 사용할 수 있는 여러 치료 방안이 있으며, 이는 훈련 수준과 지리적 위치에 따라 다르게 사용된다. 국가적으로 수용된 단일 방법은 없다 1,2,3,4.
해부학과 생리학
외상성 기흉의 병태생리를 이해하기 위해서는 흉막강과 주변 조직에 대한 이해가 중요하다. 내장 흉막과 벽 측 흉막 사이의 잠재 공간은 통상적으로 흉강 내에서 큰 면적을 차지하지 않으면서 조직의 움직임을 가능하게 하는 공간이다. 이 공간이 외상으로 인해 손상되면 혈액과 공기가 이 잠재 공간으로 들어올 수 있다. 이 공간의 압력이 증가하면 다양한 병리 현상이 발생한다. 이 압력 증가가 주변 조직에 영향을 미치고, 정상적인 흉강 내 압력 변화를 초래하여 흉강으로의 혈류와 환기를 방해할 수 있다.
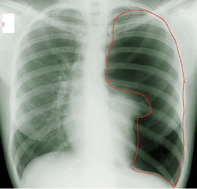
외상성 기흉은 크게 단순 기흉, 긴장성 기흉, 그리고 개방성 기흉으로 분류된다. 단순 기흉은 폐나 흉막의 손상으로 인해 흉막강 내에 공기가 축적되는 경우를 말한다. 이러한 기흉의 대부분은 둔상 외상 상황에서 발생한다. 둔한 힘에 의해 갈비뼈가 부러지면서 흉막이나 폐 조직이 손상될 수 있다. 이러한 직접적인 손상은 벽 측 흉막과 내장 흉막 사이의 잠재 공간으로 공기가 들어오게 한다. 공기의 존재는 대량의 공기와 압력이 축적되지 않는 한 인접 구조물에 영향을 미치지 않는다.
긴장성 기흉은 단순 기흉의 연속선상에서 발생하는 것으로 볼 수 있다. 긴장성 기흉은 흉막강 내에 대량의 공기가 축적되어 흉강 내 압력이 증가하고, 이로 인해 다른 흉강 구조물이 압박을 받는 경우를 말한다. 이 압박은 폐 조직의 붕괴를 초래하여 환기와 산소 공급이 감소하게 된다. 이는 정상적인 흉강 내 음압을 손상시키기 때문으로, 기흉에 의한 혈관의 압박은 정맥 환류를 감소시키고 심박출량을 떨어뜨린다. 이러한 혈류 저항은 폐쇄성 쇼크를 일으켜 빈맥과 결국 저혈압을 초래하며, 치료되지 않으면 심정지로 이어질 수 있다.
개방성 또는 교통성 기흉은 흉벽을 통한 관통 손상으로 인해 대기와 잠재 흉막강 사이에 공기가 통하게 되는 경우를 말한다. 이는 흉강 확장 동안 생성된 음압에 의해 공기가 흉막강으로 들어오게 하여 기능 장애를 일으킨다. 환기에 필수적인 흉강 내 음압 대신 대기압이 형성되어 공기 이동을 방해한다. 단순 기흉과는 달리, 개방성 기흉은 대기압을 초과하는 압력에 의해 공기가 빠져나갈 수 있기 때문에 긴장성 생리로 이어질 수는 없다. 그러나 흡입 과정의 영향으로 인해, 이 손상은 교정되지 않으면 여전히 호흡 부전을 초래할 수 있다.
적응증
기흉은 호흡기 또는 순환기 장애의 임상적 징후가 나타나는 흉부 외상 환경에서 고려되어야 한다. 흔히 저산소증, 흉벽의 크레피투스(뚜둑 거리는 소리), 호흡음 감소, 빈호흡, 빈맥, 저혈압, 기관 편위 및 흡인성 흉부 상처의 존재와 같은 소견들이 진단에 도움을 준다. 이러한 소견들 중 많은 부분은 외상 환자에 대한 최초 조사에서 관찰되며 병원 전 제공자가 식별할 수 있다. 이러한 소견들 중 일부는 치료 프로토콜에서 사용되지만, 다소 신뢰할 수 없고 늦게 나타날 수 있다는 점을 유의해야 한다.5,6,7,8,9
병원 전 환경에서 기흉의 응급 관리에는 두 가지 주요 절차가 운용된다: 긴장성 기흉을 위한 바늘 흉강천자와 교통성 기흉을 위한 삼면 밀폐 드레싱. 흉부 외상, 청진 시 호흡음 소실 또는 감소, 중대한 저혈압 및 저산소증/호흡 부전의 존재는 긴장성 기흉을 의심하여 바늘 흉강천자를 고려해야 한다. 교통성 기흉에 대한 환경을 고려하여 삼면 밀폐 드레싱이 적용된 경우에도 긴장성 기흉이 발생할 수 있다.
신체검사에서 흡인성 흉부 상처가 발견되면 교통성 기흉 치료를 고려해야 한다. 이 경우 호흡 상태와 관계없이 폐쇄 드레싱을 적용해야 한다. 이는 이러한 환자들이 악화될 가능성이 높고 드레싱 적용이 무해하기 때문이다. 호흡 장애의 징후가 없고 환자가 다른 증상이 없는 경우, 병원 전 제공자가 드레싱 적용보다는 신속한 이송을 고려할 수 있다.
금기증
긴장성 기흉의 바늘 흉강천자 치료나 교통성 기흉의 폐쇄 드레싱 치료에 대한 절대적인 금기증은 없다. 환자의 전반적인 상태, 시설로의 이송 시간, 만성 항응고제 사용과 같은 환자 특이적 요인들은 더 침습적인 조치를 취할지 아니면 병원 환경에서의 확정적 치료(예: 흉강 천자)로 치료를 지연할지 결정하는 데 도움이 될 수 있다. 궁극적으로, 이러한 부상과 관련된 높은 이환율과 사망률을 고려할 때, 치료는 종종 필요하며 불안정한 환자에게는 이러한 요인들로 인해 지연되어서는 아니된다.
장비
긴장성 기흉의 바늘 흉강천자 치료에 사용되는 최고의 장비에 대한 논쟁이 뜨겁다. 다양한 병원 전 제공자들은 상업용 장비와 전통적인 혈관 카테터(Angiocatheter)를 사용한다. 이렇듯 다양한 방법의 비용과 효능에 대하여는 아직 확정적인 국가 표준이 없다. 가장 큰 우려 중 하나는 바늘 흉강천자의 성공률과 접근 방식에 따라 가장 높은 성공률을 가져오는지에 관한 것이다. 환자 집단의 체질량 지수(BMI)가 증가함에 따라, 더 많은 응급 의료 시스템이 흉막 공간에 도달하기 위해 직경과 길이가 증가(large bore and longer device)한 카테터를 채택하는 추세이다. 추가적인 연구에서는 바늘 삽입 위치에 대한 다양한 접근 방법을 제안하고 있으며, 이는 아래에서 논의될 것이다. 병원 전 제공자는 사용 가능한 장비와 그 사용법에 익숙해야 한다.
전통적으로 삼면 밀폐 드레싱은 교통성 기흉을 완화하기 위해 사용되었다. 드레싱을 배치하는 데 필요한 시간과 흉부에 제대로 테이핑 하는 애로에 대한 우려로, 다른 기술과 상업적으로 이용 가능한 장비가 개발되었다. 개발된 다른 장비로는 밸브, 흡입 포트 및 통풍 트랙이 포함된 폐쇄 장치가 있다. 현재까지 이러한 장치들을 비교하는 인간 대상의 무작위 대조 시험은 없었지만, 돼지 모델에서 여러 연구가 수행되었다. 테스트된 장치 중 가장 효과적인 것은 선형 통풍 밀폐 드레싱으로, 이는 혈전으로 막힐 가능성이 적고 전통적인 테이프 방식보다 환자에게 더 잘 부착되는 양상을 보였다. 이러한 공학적으로 설계된 통풍 드레싱의 비용은 간단한 테이프와 밀폐 드레싱에 비해 상당히 높으며, 병원 전 제공자는 자신의 시스템 내에서 사용 가능한 장비와 그 사용법에 익숙해야 한다.
병원 전 단계 처치 제공자
이 두 절차는 장비가 갖추어진 경우 모든 병원 전 제공자의 업무 범위에 포함된다. 대부분의 병원 전 시스템은 (누가) 이러한 절차를 수행할 수 있는지와 언제 수행해야 하는지에 대한 프로토콜을 갖추고 있어야 한다. 제공자가 이러한 프로토콜에 익숙한 것이 매우 중요하다.
기술이 계속 발전함에 따라, 병원 내 접근 방식(in-hospital approach)을 병원 전 환경에 적응시켜 진단 정확성을 높이고 진단 시간을 단축시키는 역할이 있을 수 있다. 초음파는 응급실 문서에서 기흉의 신속한 진단에 있어 빠르고 효과적인 도구로 여러 번 입증되었으며, 현재는 외상 환자에 대한 표준 접근 방식의 일부로 간주된다. 한때 크고 다루기 힘들었던 기술이 빠르게 더 휴대 가능하고 접근이 용이해지고 있으며, 병원 전 직원의 EMS Bag (Arsenal)에 미래의 도구로 자리 잡을 가능성이 있다. 초음파 프로브는 휴대용 전자 장치에 연결할 수 있어 현장에서 환자를 평가하는 데 도움이 되는 모바일 도구로 사용할 수 있다. 시간이 지나면서 이는 병원 전 제공자에게 새로운 표준 치료법이 될 수 있지만, 환자 결과에 미치는 영향을 입증하기 위해 더 많은 연구가 필요하다.
준비
기흉이 의심되는 환자에 대한 접근 방식은 더 이상의 긴장성 생리 현상이 발생하는 것을 방지하고 환자의 환기를 지원하는 것이다. 환자는 산소 보충을 통해 산소 공급과 기흉 흡수(pneumothorax reabsorption)에 도움을 받을 수 있다. 갈비뼈 부상이 의심되는 경우 통증 조절이 필요하며, 이는 환기의 저하를 방지하는 데 도움이 된다. 만약 쇼크가 발생한 경우, 기흉이 의심되더라도 다른 원인을 평가하고 치료하는 것을 피하지 말아야 한다. 외상 환자에서는 종종 여러 원인이 동시에 존재할 수 있기 때문이다. 마지막으로, 호흡 부전으로 인해 필요하지 않은 한 양압 환기는 피하는 것이 좋다. 궁극적으로 EMS 제공자는 긴장성 생리학의 진행을 지속적으로 인식하고 필요할 경우 감압에 신속히 대처할 준비가 되어 있어야 한다.
관통성 흉부 손상에서 흉벽의 신속한 노출 및 평가는 흡인성 흉부 상처를 식별할 수 있다. 이러한 상처는 누운 환자에게서는 쉽게 보이지 않을 수 있으므로, 겨드랑이와 후면에도 추가적인 주의를 기울여야 한다. 밀폐성 드레싱을 적용할 때 가장 흔히 발생하는 합병증은 드레싱이 잘 유지되지 않는 것이므로, 가능하다면 적용 부위에서 습기를 제거한 후 드레싱을 적용하는 것이 좋다.
술기
바늘 감압술은 대구경 카테터를 흉벽을 통해 흉막강에 삽입하여 흉막 내 공기를 배출하는 절차다. 이 과정은 촉진과 시각화를 통해 징후를 식별하고, 흉벽의 큰 혈관을 피하기 위해 갈비뼈 바로 위에 바늘을 놓는 것을 목표로 둔다. 많은 경우, 적절하게 배치된 카테터에서 공기가 빠져나가는 '우쉬(whoosh; 진짜 그렇게 적혀있음—역자 주)' 하는 소리가 들리지만, 이는 모든 경우에 발생하지 않을 수 있다. 대신, 생체 징후의 개선이 성공적인 술기 적용의 신호로 자주 나타난다. 바늘을 삽입할 흉부 위치는 최근 몇 년간 많이 연구되었다. 고전적인 교훈에 따르면 대구경 카테터는 쇄골 중앙선의 제2번 늑간에 삽입되어야 한다고 했다. 그러나 이 접근법의 실패율로 인해 많은 논란이 있었다. 최근 연구자들은 제4번 및 제5번 늑간에서 중간겨드랑선(midaxillary line)에 카테터를 삽입하는 튜브 흉관 삽입과 유사한 접근법을 권장하고 있다. 이 접근법은 이 부위에 연조직이 적어 카테터가 흉막강에 더 깊이 삽입될 수 있어 전통적인 접근법보다 실패율이 낮다는 이유로 권장하는 것이다. 이 접근 방식의 주요 단점은 누운 자세에서 환자의 몸에 의해 카테터가 꼬이는 현상이 보고된다는 점이다. 이 현상은 군사 후송 환경에서 여러 차례 입증되었다. 특히 장시간 운송 시 이 가능한 합병증을 식별하기 위해 주의가 필요하다.
흡인성 흉부 상처 드레싱의 목표는 흉막강의 공기 교통/이동을 방지하는 것이다. 이는 상처 위에 단방향 밸브를 형성하도록 밀폐성 드레싱을 적용함으로써 달성된다. 그 결과, 흉막강에서 공기가 빠져나가도록 하면서 흡입 시 공기가 역류하지 않도록 적용하게 되겠다. 전통적으로 밀폐성 드레싱은 세 부분에 부착하고, (의존성 위치 dependent position) 혈액과 공기가 상처에서 빠져나가도록 한 면을 개방한다. 상업용 제품(Commercial chest seal)은 유사하게 작동하지만, 부착성이 있고 배액을 허용하도록 설계되었으며 단순히 상처 위에 적용이 가능하다. 군사적 환경에서는 삼면 밀폐 드레싱을 완전히 없애고, 긴장성 생리 현상이 발생할 경우 바늘 감압을 권장하면서, 대신 밀폐 드레싱(non vent seal)을 권장한다.
합병증
바늘 흉관삽입은 환자에게 있어 침습적이고 고통스러운 절차로, 여러 합병증이 발생할 수 있다. 보고된 사례에 따르면 흉부 혈관, 폐 실질(lung parenchyma), 심장 조직에 손상이 발생하여 상당한 확률의 이환과 사망을 초래할 수 있다. 이러한 구조물들과의 근접성을 고려하여 바늘을 적용할 때 신중을 기해야 하겠다. 또한, 흉강 내 감염이 발생할 수 있다는 사례 보고가 있으며, 감압을 수행하기 전에 피부 상부에 셀룰라이트 및 기타 감염 위험을 평가해야 한다. 이러한 이유로 침 감압은 필요할 때만 수행해야 하겠다. 또한, 바늘 흉관삽입은 일시적인 조치라는 점을 기억하는 것이 중요하다. 환자는 병원에 도착하면 보통 흉관 삽입을 필요로 한다. 영국을 비롯한 다른 전원 시스템에서는 현장에서 흉관을 삽입하는 것을 평가했다. 결과는 감압과 유사한 성공률을 보였지만, 흉관 삽입으로 인한 이송 지연이 더 많았다.
밀폐성 드레싱과 관련된 합병증은 절차 자체보다는 상처 위에 효과적인 단방향 플랩을 형성하지 못한 경우에 발생한다. 가장 흔한 합병증은 환자에게의 부착 손실로 인해 지속적인 기흉이 발생하거나, 상처 자체가 막혀 밀폐성 기흉이 발생하여 긴장성 생리 증상으로 발전할 가능성이 있는 경우이다. 이러한 부상과 종종 동반되는 혈흉은 드레싱이 흉벽에 부착되는 것을 방해할 수 있으며, 응고된 혈액이 통로를 막아 흉강 내 공기가 빠져나가는 것을 방해할 수 있어 이러한 가능성을 더욱 높일 수 있다. 추가적인 합병증은 드물게 생명을 위협하지만, 일부 접착제와 관련된 국소 알레르기 반응이 보고된 바 있다.
임상적 의의
흉부 손상을 입은 외상 환자의 신속한 평가와 치료는 생명을 위협하는 호흡 및 혈역학적 장애를 역전시키는 데 높은 효과가 있는 것으로 나타났다. 병원 전 제공자는 프로토콜화된 평가 및 처치를 통해 의료진의 지시에 따라 외상성 기흉을 식별하고 관리할 수 있다. 이 절차에 대한 새로운 접근 방법의 지속적인 개발과 병원 내 기술의 통합은 병원 전 제공자가 이 기술을 더욱 정교하게 다듬고 적절한 환자 그룹에 적용할 수 있게 할 것이다. 이와 같은 개선된 접근법과 기술의 발전은 외상 환자의 생존율을 높이고, 처치 결과를 향상하는데 큰 기여를 할 것으로 기대된다. 10
의료 팀의 결과 향상
기흉의 관리는 응급구조사, 외상 외과 의사, 일반 외과 의사, 흉부외과 의사, 중환자 치료 전문의를 포함한 전문가 간 팀에 의해 이루어지지만, 이러한 환자들의 주 관리는 간호사가 담당하게 된다. 간호사는 흉부 배액관의 개통 여부를 확인하고, 상처 관리 및 활력 징후 모니터링을 책임진다. 대부분의 기흉 환자는 신속한 치료를 받으면 좋은 결과를 얻게 된다. 이와 함께, 환자에게 흡연을 중지할 것을 교육하는 것이 중요하다 하겠다. 흡연은 기흉의 위험을 증가하기 때문이다. 전문가 간 팀의 협력과 각 구성원의 역할이 중요하며, 이를 통해 환자의 예후를 향상할 수 있다. 간호사와 의료진의 원활한 협력이 곧 환자의 처치 효과를 극대화하는데 중요한 역할을 한다. 2,3
그림


참고 문헌
- Talbott MM, Campos A, Kuhl EA, Martel TJ. StatPearls [Internet]. StatPearls Publishing; Treasure Island (FL): Jan 30, 2024. EMS Pneumothorax Identification Without Ancillary Testing. [PMC free article] [PubMed]
- Dickson RL, Gleisberg G, Aiken M, Crocker K, Patrick C, Nichols T, Mason C, Fioretti J. Emergency Medical Services Simple Thoracostomy for Traumatic Cardiac Arrest: Postimplementation Experience in a Ground-based Suburban/Rural Emergency Medical Services Agency. J Emerg Med. 2018 Sep;55(3):366-371. [PubMed]
- Weichenthal LA, Owen S, Stroh G, Ramos J. Needle Thoracostomy: Does Changing Needle Length and Location Change Patient Outcome? Prehosp Disaster Med. 2018 Jun;33(3):237-244. [PubMed]
- Weichenthal L, Crane D, Rond L. Needle Thoracostomy in the Prehospital Setting: A Retrospective Observational Study. Prehosp Emerg Care. 2016 May-Jun;20(3):399-403. [PubMed]
- Bhat SR, Johnson DA, Pierog JE, Zaia BE, Williams SR, Gharahbaghian L. Prehospital Evaluation of Effusion, Pneumothorax, and Standstill (PEEPS): Point-of-care Ultrasound in Emergency Medical Services. West J Emerg Med. 2015 Jul;16(4):503-9. [PMC free article] [PubMed]
- Weichenthal L, Crane DH, Rond L, Roche C. Needle Thoracostomy for Patients with Prolonged Transport Times: A Case-control Study. Prehosp Disaster Med. 2015 Aug;30(4):397-401. [PubMed]
- Knotts D, Arthur AO, Holder P, Herrington T, Thomas SH. Pneumothorax volume expansion in helicopter emergency medical services transport. Air Med J. 2013 May-Jun;32(3):138-43. [PubMed]
- Chin EJ, Chan CH, Mortazavi R, Anderson CL, Kahn CA, Summers S, Fox JC. A pilot study examining the viability of a Prehospital Assessment with UltraSound for Emergencies (PAUSE) protocol. J Emerg Med. 2013 Jan;44(1):142-9. [PubMed]
- Garramone RR, Jacobs LM, Sahdev P. An objective method to measure and manage occult pneumothorax. Surg Gynecol Obstet. 1991 Oct;173(4):257-61. [PubMed]
원문 및 번역문
원문 ↓
'학술 및 일반 자료 번역 > TCCC' 카테고리의 다른 글
| [번역] 병원 전 단계에서 승압제 투여가 전투 부상자의 사망률 증가와 관련이 있음에 관하여 (4) | 2024.12.13 |
|---|---|
| [번역] 트롬빈과 트라넥삼산이 포함된 자가 추진 드레싱으로 치명적인 접합부 출혈 돼지 모델에서 단기 생존율이 향상 (1) | 2024.11.30 |
| [번역] JTS-CPG CBRN Injury Response Part Ⅱ: Medical Management of Chemical Agent Exposure (0) | 2024.05.26 |
| [번역] JTS-CPG CBRN Injury Response Part Ⅰ: Initial Response to CBRN Agents (0) | 2024.05.26 |
| [번역] 전술적전투부상자처치 2024년도 가이드라인: 교전 중 처치(CUF) (0) | 2024.05.26 |
