병원 전 외상 환자에서의 응급 바늘천자 흉관삽입술: CT 촬영을 통한 술기 시행 검토
Emergent needle thoracostomy in prehospital trauma patients: a review of procedural execution through computed tomography scans
Michael M Neeki,1,2,3 Christina Cheung,1 Fanglong Dong,1 Nam Pham,1 Dylan Shafer,1 Arianna Neeki,1 Keeyon Hajjafar,1 Rodney Borger,1,2 Brandon Woodward,3,4 Louis Tran1,2
1Department of Emergency Medicine, Arrowhead Regional Medical Center, Colton, California, USA
2Department of Emergency Medicine, California University of Science and Medicine, San Bernardino, California, USA
3Department of General Surgery, Arrowhead Regional Medical Center, Colton, California, USA
4Department of General Surgery, California University of Science and Medicine, San Bernardino, California, USA
Correspondence to Dr Michael M Neeki; michaelneeki@gmail.com
Received 1 April 2021
Accepted 8 August 2021
요약
배경 외상성 긴장성 기흉(TPT)은 외상 손상에서 가장 심각한 사망 원인 중 하나로, 바늘천자 흉관삽입술(NT)을 통한 즉각적인 처치가 필요하다. 흉막강 내에 NT 삽입이 부정확하게 시행되면 생명을 위협하는 TPT 치료에 실패할 수 있다. 본 연구는 성인 외상 환자에서 구급대원이 시행한 병원 전 NT 삽입의 정확성을 평가하는 것을 목적으로 했다.
방법 후향적 의무기록 검토를 통해 구급대원으로부터 NT 처치를 받은 연속된 외상 환자 84명을 분석했다. 1차 결과 변수는 구급대원에 의해 시행된 NT 삽입의 정확성이었다. 생존자와 사망자 간, 그리고 적절한 바늘 삽입과 부적절한 바늘 삽입 간에 다양한 변수들의 비교가 별도로 이루어졌다.
결과 성인 외상 환자의 27.4%에서 흉막강 내에 NT가 적절히 삽입된 것으로 확인되었다. 또한 구급대원이 시행한 시술의 19% 이상은 의학적으로 적응증이 없는 것으로 나타났다.
논의 장기적인 전략이 필요할 수 있으며, 이는 병원 전 단계에서 구급대원이 이러한 정교한 생명 구명 처치를 시행하는 능력과 수행 수준을 향상시키기 위함이다.
근거 수준 IV.
서론
흉부 외상은 미국에서 외상 관련 사망의 35%를 차지하며, 그중 가장 흔한 것은 교통사고로 인한 둔상성 흉부 외상이다 1. 흉부 외상에서 발견되는 가장 심각한 손상 중에는 기흉과 혈흉이 있다. 최근 연구에 따르면 둔상성 외상을 입은 성인의 10.5%에서 기흉이 발견되었다 2. 관통상 외상의 경우 기흉의 발생률은 최대 40%에 이를 수 있다 3. 긴장성 기흉(Tension pneumothorax, TPT)은 드물지만 외상성 심정지를 유발할 수 있다. 실제 TPT의 발생률은 임상적 추정에 의존하기 때문에 파악하기 어렵다. Sharma와 Jindal은 부검에서 진단되지 않은 TPT가 3.8% 발견되었다고 보고했다 3. 또한 인공호흡기를 사용하는 환자에서는 단순 기흉이 적시에 진단 및 치료되지 않으면 TPT로 진행될 수 있다. 인공호흡기를 사용하는 환자에서 TPT는 심각한 합병증을 일으킬 수 있으며, 사망률은 91%에 달한다 4.
병원 전 단계에서 의심되는 TPT는 구급 의료 인력에 의한 즉각적인 응급 흉부 감압이 요구된다. 미국외과학회(American College of Surgeons', ACS)의 최신 권고안으로는, 흉관삽관술(Tube thoracostomy, TT)이 시행되기 전까지 구급대원이 바늘천자 흉관삽입술(Needle thoracostomy, NT)을 시행하여 의심되는 TPT를 감압하도록 제시하고 있다 5. 이 시술은 구급대원의 허용된 업무 범위 내에 포함된다 6. 비록 표준화된 국가 단위의 프로토콜은 존재하지 않지만, 대부분의 응급의료서비스(Emergency medical service, EMS) 기관들은 의심되는 TPT 관리에 관한 프로토콜을 보유하고 있다 7.
병원 전 단계에서 시행된 NT 현장 경험은 엇갈린 결과를 보여왔다. 병원 전 NT 시행 횟수는 진료 환경에 따라 달라지지만, 연구에 따르면 그 발생률은 0.2%에서 1.7% 사이로 보고되었다 8,9. 또한 시술 후 추가적 처치를 요하는 합병증 발생률은 낮은 것으로 나타났다 10. Eckstein과 Suyehara는 병원 전 NT의 2% 미만에서 처치를 요하는 합병증이 발생했으며, 가장 흔한 합병증은 의료행위로 인한 기흉이라고 보고했다 8. 그러나 이 시술의 효과성은 의문시되고 있으며, 높은 실패율이 보고되고 있다. Axtman 등은 병원 전 NT가 시도된 경우 단지 5.7%에서만 성공적으로 삽입되었다고 지적했다 11. 임상 기준을 적용했을 때도 비슷한 수치가 나타났는데, 현장에서 활력징후가 객관적으로 호전된 경우는 5%에 불과했고, 호흡곤란이 주관적으로 호전된 경우는 7%에 불과했다 8.
흉막강 내에 부정확하게 삽입된 NT는 생명을 위협하는 TPT 치료에 실패할 수 있다. 기존 연구들에서는 이미 존재하는 TPT에 대한 비효과적 처치가, 안지오카테터 길이 부족, 부정확한 삽입 위치, 혹은 혈액 응고나 꺾임과 같은 카테터 폐색에 의해 발생할 수 있다고 제시한 바 있다 12. 본 연구는 지역 외상센터에서 초기 외상 평가 시 시행된 CT 촬영을 통해 검증된 성인 외상 환자에서, 구급대원이 시행한 병원 전 NT 삽입의 정확성을 검토하는 것을 목적으로 한다.
대상 환자와 연구 방법
환자 및 방법 본 연구는 후향적 의무기록 검토와 전향적 관찰 연구로 이루어졌다. 연구에서는 환자의 동의가 면제되었으며, 자료는 집계된 형식으로 보고되었다. 본 논문에서는 어떠한 환자 정보도 특정되지 않았다. Arrowhead Regional Medical Center (ARMC)는 캘리포니아주 San Bernardino County (SBC)에 위치한 456병상 규모의 급성기 교육병원이며, 이 지역에서 유일하게 ACS가 인증한 레벨 II 외상센터이다. ARMC 응급실(Emergency Department, ED)은 캘리포니아주에서 가장 분주한 응급실 중 하나로, 연간 10만 건 이상의 내원과 3000건 이상의 성인 외상 증례를 처리하고 있다 13.
본 연구는 2018년 1월 1일부터 2020년 9월 30일까지 구급대원에 의해 생명을 위협하는 TPT으로 판단되어 병원 전 단계에서 NT을 시행받은 연속된 환자들을 분석했다. Inland Counties Emergency Medical Agency에서 정의한 NT 삽입의 적응증은 점진적으로 악화되는 호흡곤란/청색증, 환측에서 호흡음 감소 또는 소실, 저혈압, 불안 증가, 경정맥 팽창, 또는 환측에서 반대 방향으로의 기관 편위 중 어느 하나 이상이었다 14. ED에서 초기 외상 평가 단계를 생존한 환자들이 연구에 포함되었다. 이들 환자는 외상 진료 과정의 일환으로 이후 CT 촬영을 받았다. 연구 프로토콜에 따라, 병원 전 단계에서 삽입된 안지오카테터는 CT 촬영이 완료될 때까지 원래 위치에 유지되었으며, 이는 구급대원이 시행한 NT 삽입의 정확성을 평가하기 위함이었다. 연구에서 분석된 집단은 두 가지로, ⑴ CT로 흉막강 내 적절한 NT 삽입이 확인된 경우와 ⑵ CT에서 흉막강 외부로 부적절하게 삽입된 경우였다. 안지오카테터가 이탈된 경우에는 각 CT 영상의 관상면과 시상면을 면밀히 검토하여 경로를 확인할 수 있었다. 흉벽 두께(Chest-wall thicknes, CWT)는 각 환자에서 중앙쇄골선 2번 늑간(Intercostal space-Mid clavicular line, ICS-MCL), 전액와선 4번 늑간(Intercostal space-Anterior axillary line, ICS-AAL), 중액와선 4번 늑간(Intercostal space-Mid axillary line, ICS-MAL)에서 측정되었다. 측정은 두 명의 독립적인 평가자에 의해 CT 영상에서 얻어졌다. 추가로 수집된 자료에는 연령, 성별, 손상 중증도 점수(Injury severe scale, ISS), 손상 기전, 중환자실(Intensive care unit, ICU) 입원 일수, 퇴원 상태, 흉관 삽입 여부, 후송 방법, 체질량지수(Body mass index, BMI)가 포함되었다.
모든 통계 분석은 Windows용 SAS 소프트웨어 9.4(Cary, NC, USA)를 사용하여 수행되었다. 연속형 변수는 평균과 표준편차(SD)로, 범주형 변수는 빈도와 비율로 기술통계치를 제시했다. 범주형 변수와 생존 상태, 그리고 NT 삽입 상태(적절 vs. 부적절) 간의 연관성을 평가하기 위해 χ² 검정을 시행했다. 연속형 변수가 생존 상태와 NT 삽입 상태(적절 vs. 부적절) 간에 차이가 있는지를 평가하기 위해 독립표본 t 검정을 시행했다. 모든 통계는 양측 검정으로 수행되었으며, p 값이 0.05 미만일 때 통계적으로 유의한 것으로 간주했다.
결과
처음 분석에 포함된 102명 환자 중 18명은 병원 도착 당시 활력징후가 없었고 도착 즉시 사망으로 판정되어 제외되었다. 그 결과 최종 분석에는 총 84명의 환자가 포함되었다. 그림 1은 이에 관한 흐름을 보여준다.

최종적으로 포함된 84명의 환자 중 대다수는 남성이었으며(n=78, 92.9%), 둔상 외상을 입었고(n=58, 69.1%), TT을 시행받았으며(n=68, 81%), 육상 후송으로 도착했다(n=48, 57.1%). 평균 연령은 38.6세(SD=16.04), 평균 BMI는 29.1kg/m²(SD=5.36), 평균 ISS는 28.69(SD=10.69)였다. 흉막강 내에 적절하게 NT가 삽입된 경우는 27.4%(n=23)에 불과했다. 전체 환자 중 단지 81.0%(n=64)만이 이후 흉관삽관술을 필요로 했다. NT 시도 과정에서 5명의 환자에서 의료행위로 인한 손상이 발생했다. 한 명은 비장에 삽입되었고, 두 명은 간에 삽입되었으며, 두 명은 횡격막하로 삽입되었고, 한 명은 전종격에 삽입되었다. 병원 재원 기간의 중앙값은 7일이었으며, ICU 재원 기간의 중앙값은 5일이었다. 전체 사망률은 15.5%(n=13)였다. 표 1은 이들 84명의 환자에 대한 세부 요약을 제시한다.

생존 여부에 따른 변수 비교가 이루어졌으며, 분석 결과는 표 2에 제시되어 있다. 전체적으로 병원 퇴원까지 생존하지 못한 환자들은 더 고령이었으며(평균 연령 52세 vs. 36.14세, p=0.0008), 다른 변수들에서는 생존 여부 간에 통계적으로 유의한 차이가 나타나지 않았다(모든 p>0.05).

NT 시술(적절한 삽입 vs. 부적절한 삽입)에 따른 변수 비교가 이루어졌으며, 분석 결과는 표 3에 제시되어 있다. 전반적으로 항공 후송은 육상에서보다 적절한 삽입과 더 높은 연관성을 보였다(p=0.0405). 그 외 변수에서는 삽입 상태 간에 통계적으로 유의한 차이가 나타나지 않았다(모든 p>0.05). 예상대로 흉벽이 두꺼운 환자일수록 NT 실패 가능성이 높았다. NT에 실패한 61명 중 20% 이상이 2번 ICS-MCL에서 CWT ≥70㎜(61명 중 13명, 21.3%), 4번 ICS-MAL에서 CWT ≥70㎜(61명 중 16명, 26.2%,), 4번 ICS-AAL에서 CWT ≥70㎜(61명 중 14명, 30.0%)를 보였다(결과는 표 3에 표시되지 않음).
총 18명의 환자가 활력징후를 보이지 않는 상태로 병원에 도착했으며, 영상검사를 시행하지 않은 채 도착 후 15분 이내에 외상 처치실에서 소생술이 중단되었다. 이 집단의 평균 연령은 33.4세(SD=14.2), 평균 BMI는 29.1kg/m²(SD=3.85), 평균 ISS는 36.8(SD=5.93)였다. 환자의 대다수는 남성이었으며(n=16, 88.9%), 육상 후송으로 도착했고(n=16, 88.9%), 둔상 외상을 입었으며(n=12, 66.7%), 병원 도착 후 TT을 시행받았다(n=12, 66.7%). 이들 증례에서 NT 부적절 삽입이 직접적인 사망 원인으로 작용했는지를 정량적으로 평가하는 것은 어렵다.
논의
TPT은 외상성 심정지의 잠재적 원인이 될 수 있으며, 병원 전 단계에서 구급 의료 인력에 의한 즉각적인 인지와 바늘 감압이 필요하다. 효과적인 처치를 위해서는 시술자가 주위의 신경혈관 구조물을 손상시키지 않고 안지오카테터를 흉막강 내에 정확히 삽입해야 한다. 실패에 기여하는 주요 요인으로는 삽입 시 해부학적 위치의 부적절성, 해당 위치에 필요한 카테터 길이의 부적절성, 그리고 사용 가능한 카테터 길이를 초과하는 CWT가 있다 12,15.
NT에 사용되는 안지오카테터의 정확한 삽입 위치와 길이에 대해서는 논란이 있어왔다. 권고되는 세 가지 위치는 2번 ICS-MCL, 4/5번 ICS-AAL, 4/5번 ICS-MAL이다. Laan 등 16은 체계적 문헌고찰과 메타분석을 통해 이 세 위치의 CWT를 비교했다. 그 결과, 5번 ICS-AAL의 흉벽 두께가 34.33㎜로 가장 얇았으며, 이는 2번 ICS-MCL(42.79㎜)과 4/5번 ICS-MAL(39.85㎜)에 비해 얇았다. 이에 따라 실패율 역시 4/5번 ICS-AAL에서 13%로 가장 낮았으며, 나머지 두 위치에서는 각각 38%와 31%였다. 따라서 연구자들은 4/5번 ICS-AAL 흉벽이 두꺼운 것으로 의심되는 환자나 기존 NT 시도가 실패한 환자에게 더 나은 선택일 수 있다고 결론지었다 16. 또한 Leatherman 등 17은 전투 부상자 후송 시 5번 ICS-AAL이 가장 안정적이라고 보고했다. 그러나 이는 BMI 24㎏/㎡에 해당하는 제한된 조건의 사체 연구였으며, 본 연구의 환자 집단을 대표하지는 않는다 17.
적절한 위치를 확인하는 것뿐만 아니라, 성공적인 카테터 삽입을 위해서는 바늘의 길이 또한 중요하다. Givens 등 18은 기존의 5㎝ 안지오카테터를 권고하는 것에 문제를 제기했다. CT 측정을 통해, 2번 ICS-MCL에서 5㎝ 카테터는 길이가 충분하지 않아 전체의 25%의 사례에서 실패율을 확인했다. 따라서 연구자들은 특히 여성 환자에서 더 긴 카테터 사용을 고려해야 한다고 권고한다 18. 이러한 결과는 5㎝ 안지오카테터 사용 시 실패율이 최대 94%에 이른다고 보고하며 NT에 8㎝ 카테터 사용을 권고한 다른 연구자들의 결과와도 일치한다 11,19. 전문외상처치술(Advanced Trauma Life Support, ATLS)은 최근 권고안을 개정하여, 4/5번 ICS-MAL에 5㎝에서 8㎝의 카테터를 삽입하도록 했다 5. 또한 전술적전투부상자처치(Tactical Combat Casualty Care, TCCC) 지침 역시 3.25"(8.25㎝) 카테터를 5번 ICS-MAL 또는 2번 ICS-MCL에 삽입할 것을 권고했다 20. 본 연구에 포함된 ARMC 권역 내 모든 EMS 기관들은 14G 또는 16G, 3.25"(8.25㎝) 바늘을 사용한다.
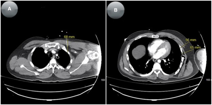
제시된 근거에 따르면, 본 연구는 모든 진료 환경에서 의심되는 TPT에 대해 NT 시 긴 안지오카테터를 사용할 것을 지지한다. 병원 전 구급대원들은 84명 중 81명(96%)에서 NT 삽입 부위로 2번 ICS-MCL을 선택했다. 그러나 이 부위에서 환자의 63%가 CWT 50㎜ 이상(그림 2 참고)이었으며, 짧은 5㎝ 안지오카테터로는 효과적이지 않았다. 또한 약 20%의 환자들은 CWT가 70㎜ 이상이었는데, 이는 긴 8.25㎝ 카테터를 사용하더라도 여전히 오차의 여지가 거의 없음을 의미한다. CT 소견에 근거할 때 NT가 흉막강에 적절히 삽입된 경우는 단 23명(27.4%)에 불과했다. 적절 삽입과 부적절 삽입 간 사망률 차이는 통계적으로 유의하지 않았으나(91.3% vs. 82.0%, p=0.4994), 적절 삽입군이 퇴원 시 생존 가능성과 더 높은 연관성을 보였으며, 이는 외상성 TPT가 의심되는 환자에서 NT의 정확한 시행이 얼마나 중요한지를 다시금 강조한다.

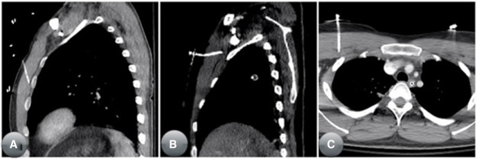
이전 연구들과 마찬가지로 NT 삽입 실패에 기여하는 요인은 복합적이며, 일부 사례는 그림 3에 제시되어 있다. 이러한 결과는 시뮬레이션이나 사체 실습과 같은 기법을 활용한 병원 전 인력의 강화된 훈련이 성과 향상에 고려되어야 함을 시사한다. Grabo 등 21은 구급대원이 사체를 활용한 훈련을 받았을 때 NT 성공률이 75%였으며, 전통적인 슬라이드와 강의 방식으로 훈련받았을 때의 35%보다 훨씬 높았다고 보고했다. 또한 최근 시뮬레이션 모델과 기법의 발전은 침습적 의료 기술 훈련을 크게 향상시켰다 22. 더불어 응급의료기관의 의료 책임자, 권역외상센터, 필요 시 검시관으로부터 지속적이고 건설적인 수행 피드백이 필요하다.

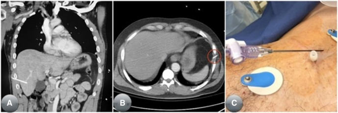
NT 삽입의 적절성 평가는, 특히 병원 전 단계 외상과 같이 역동적으로 변화하는 상황에서는 더욱 제한된다. 이번 연구에서 16명(22.5%)의 환자는 외상 소생술 시행 중 TT을 적용받지 않았는데, 이는 CT에서 기흉이나 혈흉이 발견되지 않았음을 의미한다. CT 소견에 따르면 이들 16명은 병원 전 단계에서 NT가 필요하지 않았던 것으로 보인다. 실제 비적응증 NT 시행률은 더 높을 수 있는데, 이는 NT가 시행된 이후 CT에서 발견된 기흉이 의료행위로 인해 발생한 것인지 여부를 판별할 수 없기 때문이다. NT는 적절한 적응증이 있는 경우에도 생명을 위협하는 출혈을 포함한 심각한 합병증을 초래할 수 있다 23. 또한 의료행위로 발생한 기흉에 대한 후속 TT는 환자를 간, 비장, 횡격막, 폐, 심장 손상 등 불필요한 합병증 위험에 노출시킨다 23. 본 연구에서도 NT의 부적절한 삽입으로 복강, 비장, 간에 발생한 의료행위 합병증 사례가 일부 관찰되었으며, 이는 그림 4에 제시되어 있다. 따라서 미국 전역의 EMS 규제 기관들은 의학적으로 불필요한 NT 시행을 최소화할 수 있는 전략을 모색해야 한다.

Taghavi 등 24이 주도한 최근 동부외상외과학회(Eastern Association for the Surgery of Trauma, EAST) 연구에서는 관통 외상 환자에서 시행된 병원 전 처치(Prehospital procedure, PHP)가 생존 이점을 제공하지 않으며, 도심 환경에서는 오히려 해로울 수 있다고 주장했다. 그러나 이 연구는 둔상 외상에 대해서는 유사한 문제를 다루지 않았다. 또한 연구자들은 PHP를 받은 환자들이 더 중증 손상을 입었기 때문에 본질적인 편향이 존재함을 인정했다. 더 나아가 EAST 연구는 후송 시간을 구체적으로 검토하지 않았는데, 이는 도심 환경에서 후송 시간이 최소화될 것이라고 당연히 가정했기 때문이다. 이러한 결과는 도심 환경에서 후송 시간이 짧은 관통 외상에 대한 근거 기반 권고안을 마련하기 위해 더 철저한 연구가 필요함을 시사한다. ARMC의 지리적 위치는 독특한데, ARMC는 미국에서 지리적으로 가장 넓은 카운티인 SBC의 주요 외상센터로 기능한다. 따라서 ARMC까지의 후송 시간은 미국 평균 도심 외상센터보다 상당히 길 수 있으며, 때로는 항공 후송이 필요하다. 실제 본 연구 집단에서 42.9%의 환자가 항공 후송으로 도착했는데, 이는 긴 후송 시간을 반영한다. EAST 연구는 본 연구와 달리 약 70%가 둔상 외상인 집단 구성 차이를 가지고 있지만, 병원 전 NT의 대부분은 후송 시간이 짧은 도심 환경에서는 적응증이 되지 않을 수 있다는 그들의 제안에는 동의한다.
찾아봤는데, ARMC (Arrowhead Regional Medical Center)가 위치한 San Bernardino County가 상당히 넓었다. 적색 점선 경계로 표시된 저기가 SBC임.
참고로 SBC는 미국 내에서 두 번째로 큰 County이며, 면적이 52,000㎞로 서울 면적의 82배에 달한다. 캘리포니아 주의 ⅓에 해당하는 면적이기도 하고.

주요 외상센터로 기능한다는 말은, 이 기관이 Level I의 성인 외상 처치를 담당하는 최상위 기관이라는 말인데, 이 병원과 함께 Level I 기능을 하는 병원은 바로 옆(은 아니고, 조금 옆)에 위치한 Loma Linda University Medical Center라는데, 두 병원 모두 주소를 보면 다음과 같은데,
Arrowhead Regional Medical Center (ARMC) -- 400 North Pepper Avenue, Colton, CA 92324
Loma Linda University Medical Center (LLUMC) -- 11234 Anderson Street, Loma Linda, CA 92354

215번 JC를 기준으로 서측이 ARMC, 동측이 LLUMC임. 이 두 병원을 중심으로 가장 먼 위치: Yucca Valley, Joshua Tree까지의 거리가 각각 약 152㎞, 96㎞임.
스케일이 다르긴 하네...
최근에는 병원 전 외상성 심정지에서 의심되는 TPT의 치료로 NT 대신 단순 개흉술(Simple thoracostomy, ST)을 권고하는 새로운 견해가 제시되고 있다 25. ST는 TT과 유사한 기법이지만, 흉관을 삽입하지 않고 겸자(Forcep)와 장갑 낀 손가락을 이용해 TPT를 해소하는 방법이다. 이 프로토콜은 유럽의 병원 전 단계에서 처음 도입되어 유망한 결과를 보였다. 그러나 이탈리아와 영국에서 진행된 소규모 연구는 모두 고도로 훈련된 항공 의료인력이 ST를 시행한 경우에 한정되었다 26,27. Dickson 등 28은 미국의 육상 기반 EMS 기관에서도 특별히 훈련된 구급대원이 ST를 시행할 수 있으며, 좋은 결과를 얻을 수 있다고 제안했다. 본 연구는 TPT 치료에 있어 ST 도입을 진지하게 고려해야 함을 시사한다. CWT 분석에 따르면, 긴 8.25㎝ 카테터를 사용하더라도 삽입이 권장되는 세 부위 모두 약 5분의 1의 NT 실패 가능성이 있었다. 또한 ST를 사용하면 부적절한 바늘 삽입과 관련된 합병증을 줄일 수 있다. 이는 미국에서 구급대원의 업무 범위에 관한 정책에 중대한 변화를 가져올 것이며, 강력한 감독이 뒷받침되는 체계적 교육 프로그램이 요구될 것이다.
TPT의 진단은 청진상 호흡음 감소나 저혈압과 같은 임상적 의심과 소견에만 의존한다. 그러나 불행히도 늑골 골절을 동반한 출혈성 쇼크와 같이 유사한 임상 소견을 보이는 다른 외상성 병태도 존재한다. 현장 초음파 검사는 응급의학과 의사가 시행할 경우 기흉 진단에서 높은 민감도와 특이도를 보이는 것으로 알려져 있다 29. 최근 더 작고 휴대성이 뛰어난 초음파 기기의 등장은 병원 전 단계에서 진료의 질을 향상시킬 수 있는 기회가 될 수 있다 30,31. 향후 대규모 연구에서는 병원 전 인력이 이 기법을 적절히 습득하여 TPT 인지 능력을 향상시키고, 불필요한 NT 삽입률을 줄일 수 있는지를 규명해야 한다.
본 연구의 결과는 여러 요인으로 인해 일반화에 제한이 있을 수 있다. 첫째, 본 연구의 84명 환자 표본은 단일 레벨 II 외상센터에서 확보된 것으로, 단일 지리적 위치만을 대표한다. 이는 다른 지역으로의 일반화 가능성을 제한할 수 있다. 따라서 보다 다양한 환자 집단을 포함한 다기관 연구가 필요하다. 또한 자발순환회복(Return of spontaneous circulation, ROSC)에 실패한 환자는 외상센터로 후송되지 않기 때문에, 병원 전 단계에서 시행된 NT의 전체 건수를 확인할 수 없다. 실제 부적절한 NT 삽입의 발생률을 평가하기 위해서는 외상센터, 권역 EMS 기관, 그리고 지역 검시관 간의 원활한 의사소통 체계가 이상적일 것이다.
또한 본 연구는 경찰과 육상 EMS 기관에 의한 외상센터 후송 간의 차이를 다루지 않았다. 최근 연구들에서는 관통 외상 환자가 법집행기관(Law enforcement, LE)에 의해 외상센터로 후송된 경우와 EMS 기관에 의해 후송된 경우를 비교했을 때, 교정된 병원 내 사망률에는 차이가 없음을 보고했다 32,33. 본 연구 집단에서 관통 외상을 입은 26명 중 16명은 육상으로 후송되었으며 이들의 사망률은 25%(n=4)였고, 10명은 항공 후송되었으며 사망률은 10%(n=1)였다. 필라델피아에서 LE가 채택한 “scoop and run” 정책은 SBC와 같이 지리적 범위가 넓은 지역에는 그대로 적용되기 어려울 수 있다. Tansley 등 34은 후송 시간이 길어질수록 관통 외상과 둔상 외상 피해자의 예후가 악화된다고 보고했다. 이전 연구들에서 제시된 근거를 바탕으로, LE 또는 EMS가 시행하는 “scoop and run” 정책은 선택적으로 적용되어야 하며, 외상센터까지 합리적인 후송 시간이 보장되는 관통 외상 환자에게 권장되는 것이 바람직하다 32–35.
결론
NT의 효과적인 삽입은 생명을 위협하는 TPT에 적절한 처치이다. 그러나 본 연구 결과는 EMT에 의해 적절히 삽입된 NT의 성공률이 최적 수준에 미치지 못함을 보여준다. 따라서 병원 전 외상 진료에서 NT의 사용은 장기적 교육 프로그램과 엄격한 감독이 포함된 체계적 프로그램 없이 무분별하게 시행되어서는 안 되며, 이러한 기반이 마련되어야만 진료의 질을 향상시킬 수 있다.
참고문헌
- Edgecombe L, Sigmon DF, Galuska MA, Angus LD. Thoracic trauma. StatPearls, 2020.
- Rodriguez RM, Canseco K, Baumann BM, Mower WR, Langdorf MI, Medak AJ, Anglin DR, Hendey GW, Addo N, Nishijima D, et al. Pneumothorax and Hemothorax in the Era of Frequent Chest Computed Tomography for the Evaluation of Adult Patients With Blunt Trauma. Ann Emerg Med 2019;73:58–65.
- Sharma A, Jindal P. Principles of diagnosis and management of traumatic pneumothorax. J Emerg Trauma Shock 2008;1:34.
- Chen K- Y, Jerng J- S, Liao W- Y, Ding L- W, Kuo L- C, Wang J- Y, Yang P- C. Pneumothorax in the ICU: patient outcomes and prognostic factors. Chest 2002;122:678–83.
- American College of Surgeons. Advanced trauma life support. 10th ed, 2018.
- California Health and Human Services Agency. Scope of Practice Statements. https://emsa.ca.gov/wp-content/uploads/sites/71/2017/10/Scope-of-Practice-Documents Current.12.11.18.pdf.
- Koch BW, Kahwaji CI. EMS, Pneumothorax. StatPearls [Internet], 2020.
- Eckstein M, Suyehara D. Needle thoracostomy in the prehospital setting. Prehosp Emerg Care 1998;2:132–5.
- Warner KJ, Copass MK, Bulger EM. Paramedic use of needle thoracostomy in the prehospital environment. Prehosp Emerg Care 2008;12:162–8.
- Weichenthal L, Crane D, Rond L. Needle thoracostomy thoracostomy in the prehospital setting: a retrospective observational study Prehospital setting: a retrospective observational study. Prehosp Emerg Care 2016;20:399–403.
- Axtman BC, Stewart KE, Robbins JM, Garwe T, Sarwar Z, Gonzalez RA, Zander TL, Balla FM, Albrecht RM. Prehospital needle thoracostomy: what are the indications and is a post- trauma center arrival chest tube required? Am J Surg 2019;218:1138–42.
- Wernick B, Hon HH, Mubang RN, Cipriano A, Hughes R, Rankin DD, Evans DC, Burfeind WR, Hoey BA, Cipolla J, et al. Complications of needle thoracostomy: a comprehensive clinical review. Int J Crit Illn Inj Sci 2015;5:160–9.
- Lee C, Walters E, Borger R, Clem K, Fenati G, Kiemeney M, Seng S, Yuen H- W, Neeki M, Smith D. The San Bernardino, California, terror attack: two emergency departments’ response. West J Emerg Med 2016;17:1–7.
- San Bernardino County EMS Officer’s Association. Basic/advanced skills training guidelines testing manual, 2019. https://www.sbcounty.gov/icema/main/ViewFile.aspx?DocID=3891.
- Stevens RL, Rochester AA, Busko J, Blackwell T, Schwartz D, Argenta A, Sing RF. Needle thoracostomy for tension pneumothorax: failure predicted by chest computed tomography. Prehosp Emerg Care 2009;13:14–17.
- Laan DV, Vu TDN, Thiels CA, Pandian TK, Schiller HJ, Murad MH, Aho JM. Chest wall thickness and decompression failure: A systematic review and meta- analysis comparing anatomic locations in needle thoracostomy. Injury 2016;47:797–804.
- Leatherman ML, Held JM, Fluke LM, McEvoy CS, Inaba K, Grabo D, Martin MJ, Earley AS, Ricca RL, Polk TM. Relative device stability of anterior versus axillary needle decompression for tension pneumothorax during casualty movement: preliminary analysis of a human cadaver model. J Trauma Acute Care Surg 2017;83:S136–41.
- Givens ML, Ayotte K, Manifold C. Needle thoracostomy: implications of computed tomography chest wall thickness. Acad Emergency Med 2004;11:211–3.
- Aho JM, Thiels CA, El Khatib MM, UblDS, LaanDV, BernsKS, HabermannEB, ZietlowSP, ZielinskiMD. Needle thoracostomy: Clinical effectiveness is improved using a longer angiocatheter. J Trauma Acute Care Surg 2016;80:272–7.
- Butler FK, Holcomb JB, Shackelford S, Montgomery HR, Anderson S, Cain JS, Champion HR, Cunningham CW, Dorlac WC, Drew B, et al. Management of suspected tension pneumothorax in tactical combat casualty care: TCCC guidelines change 17-02. J Spec Oper Med 2018;18:19–35.
- Grabo D, Inaba K, Hammer P, Karamanos E, Skiada D, Martin M, Sullivan M, Demetriades D. Optimal training for emergency needle thoracostomy placement by prehospital personnel: didactic teaching versus a cadaver- based training program. J Trauma Acute Care Surg 2014;77:S113.
- Léger A, Ghazali A, Petitpas F, Guéchi Y, Boureau- Voultoury A, Oriot D. Impact of simulation- based training in surgical chest tube insertion on a model of traumatic pneumothorax. Advances in simulation. London, England, 2016:1. 1–21.
- Kwiatt M, Tarbox A, Seamon MJ, Swaroop M, Cipolla J, Allen C, Hallenbeck S, Davido HT, Lindsey DE, Doraiswamy VA, et al. Thoracostomy tubes: a comprehensive review of complications and related topics. Int J Crit Illn Inj Sci 2014;4:143–55.
- Taghavi S, Maher Z, Goldberg AJ, Chang G, Mendiola M, Anderson C, Ninokawa S, Tatebe LC, Maluso P, Raza S, et al. An Eastern Association for the Surgery of Trauma multicenter trial examining prehospital procedures in penetrating trauma patients. J Trauma Acute Care Surg 2021;91:130–40.
- Escott MEA, Gleisberg GR, Kimmel K, Karrer A, Cosper J, Monroe BJ. Simple thoracostomy. moving beyong needle decompression in traumatic cardiac arrest. JEMS 2014;39:26–32.
- Massarutti D, Trillò G, Berlot G, Tomasini A, Bacer B, D’Orlando L, Viviani M, Rinaldi A, Babuin A, Burato L, et al. Simple thoracostomy in prehospital trauma management is safe and effective: a 2- year experience by helicopter emergency medical crews. Eur J Emerg Med 2006;13:276–80.
- Deakin CD, Davies G, Wilson A. Simple thoracostomy avoids chest drain insertion in prehospital trauma. J Trauma 1995;39:373–4.
- Dickson RL, Gleisberg G, Aiken M, Crocker K, Patrick C, Nichols T, Mason C, Fioretti J. Emergency medical services simple thoracostomy for traumatic cardiac arrest: Postimplementation experience in a Ground- based Suburban/Rural emergency medical services agency. J Emerg Med 2018;55:366–71.
- Wilkerson RG, Stone MB. Sensitivity of bedside ultrasound and supine anteroposterior chest radiographs for the identification of pneumothorax after blunt trauma. Acad Emerg Med 2010;17:11–17.
- Chin EJ, Chan CH, Mortazavi R, Anderson CL, Kahn CA, Summers S, Fox JC. A pilot study examining the viability of a prehospital assessment with ultrasound for emergencies (pause) protocol. J Emerg Med 2013;44:142–9.
- Heegaard W, Hildebrandt D, Spear D, Chason K, Nelson B, Ho J. Prehospital ultrasound by paramedics: results of field trial. Acad Emerg Med 2010;17:624–30.
- Winter E, Hynes AM, Shultz K, Holena DN, Malhotra NR, Cannon JW. Association of police transport with survival among patients with penetrating trauma in Philadelphia, Pennsylvania. JAMA Netw Open 2021;4:e2034868.
- Wandling MW, Nathens AB, Shapiro MB, Haut ER. Police transport versus ground EMS: a trauma system- level evaluation of prehospital care policies and their effect on clinical outcomes. J Trauma Acute Care Surg 2016;81:931–5.
- Tansley G, Schuurman N, Bowes M, Erdogan M, Green R, Asbridge M, Yanchar N. Effect of predicted travel time to trauma care on mortality in major trauma patients in nova Scotia. Can J Surg 2019;62:123–30.
- Maher Z, Beard JH, Dauer E, Carroll M, Forman S, Topper GV, Pathak A, Santora TA, Sjoholm LO, Zhao H, et al. Police transport of firearm- injured patients- more often and more injured. J Trauma Acute Care Surg 2021;91:164–70.
원문 및 번역문
원문 ↓
'학술 및 일반 자료 번역 > TCCC' 카테고리의 다른 글
| [번역] 2003~2011년 이라크 및 아프가니스탄 파병 전투원들의 골반, 척추, 사지 손상: 군 근골격계 의학의 새로운 패러다임 (2013) (3) | 2025.08.03 |
|---|---|
| [번역] 긴장성 기흉의 임상 징후 해소를 위한 병원 전 단계 흉부 감압술의 효과 분석 (2025) (1) | 2025.08.03 |
| [번역] 중증 상부 위장관 출혈, 내시경으로 분사한 자가추진형 트롬빈 분말로 지혈에 성공: 돼지 모델 선행 연구 (2) | 2025.07.25 |
| [번역] COMBAT-C: 피복 상부에 지혈대를 착대하여 대량 출혈을 통제 (0) | 2025.02.25 |
| [번역] 교전 중 처치 상황에서 고급 지혈 드레싱은 거즈만큼 효과적이지 않았다 (0) | 2025.02.11 |

